Cтоматолог-ортопед Розовский Александр Витальевич

Cтоматолог-ортопед Розовский Александр Витальевич

Cтоматолог-ортопед Розовский Александр Витальевич стоматологической клиники QR DENTAL в Минске. Стаж работы - 9 лет. Врач первой категории. Все виды протезирования на имплантах. Реставрации коронками и винирами (эстетические и функциональные) Записаться на прием по телефону горячей линии + 375 (29) 555 555 4
  • Окончив Белорусский государственный медицинский университет в 2014 году, Розовский Александр Витальевич проходил интернатуру в Учреждении здравоохранения "5 городская стоматологическая поликлиника"
  • Прошёл путь от интерна до заведующего платным стоматологическим отделением в государственной стоматологической клинике за 4 года. Опыт работы в государственных и частных стоматологических клиниках.
  • Наличие международных стажировок необходимо, чтобы пациент получал лучший сервис, который существует на данный момент в мире.
  • Хороший врач должен быть всегда студентом, поэтому повышение квалификации, посещение профессиональных семинаров и практикумов проходит ежегодно, по 2-4 раза в год.

Специализация



Розовский Александр Витальевич

Розовский Александр Витальевич
Cтоматолог-ортопед

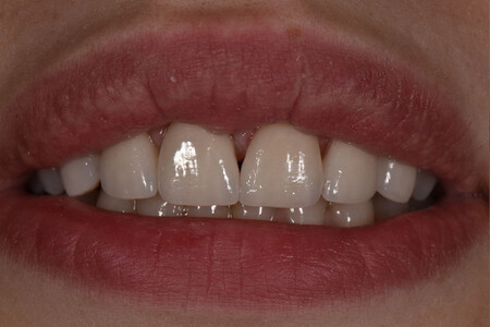
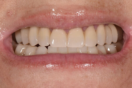
Примеры работ:

До Примеры работ QR Dental
После Примеры работ QR Dental

Врач:Розовский Александр Витальевич

Протезирование

Восстановление зубного ряда диоксид циркониевыми коронками, работа Розовский А.В.
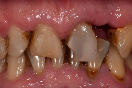
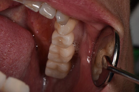
До Примеры работ QR Dental
После Примеры работ QR Dental

Врач:Розовский Александр Витальевич

Протезирование

Циркониевые коронки на импланты и зубы
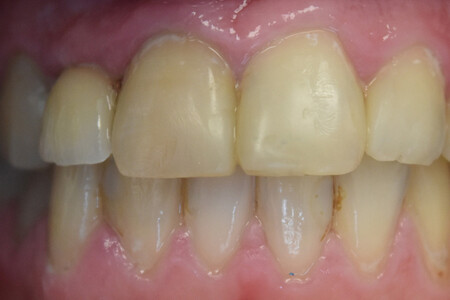
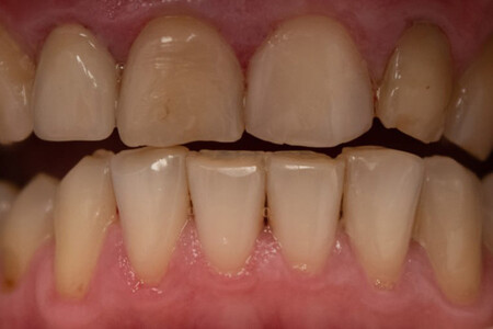
До Примеры работ QR Dental
После Примеры работ QR Dental

Врач:Розовский Александр Витальевич

Протезирование

Циркониевые коронки на зубы 6-7
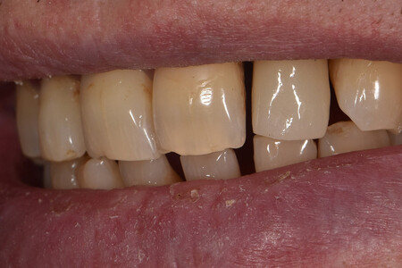
До Примеры работ QR Dental
После Примеры работ QR Dental

Врач:Розовский Александр Витальевич

Протезирование

Коронка на импланте 2.2
До Примеры работ QR Dental
После Примеры работ QR Dental

Врач:Розовский Александр Витальевич

Протезирование

Керамические виниры на центральные резцы
До Примеры работ QR Dental
После Примеры работ QR Dental

Врач:Розовский Александр Витальевич

Протезирование

Безметалловая коронка на боковой резец
До Примеры работ QR Dental
После Примеры работ QR Dental

Врач:Розовский Александр Витальевич

Протезирование

Коронки из диоксид циркония на импланты и зубы
До Примеры работ QR Dental
После Примеры работ QR Dental

Врач:Розовский Александр Витальевич

Протезирование

Замена мостовидного протеза на имплантах
До Примеры работ QR Dental
После Примеры работ QR Dental

Врач:Розовский Александр Витальевич

Протезирование

Закрытие диастемы керамическими винирами
До Примеры работ QR Dental
После Примеры работ QR Dental

Врач:Розовский Александр Витальевич

Протезирование

Восстановление зубного ряда диоксид циркониевыми коронками, работа Розовский А.В.
До Примеры работ QR Dental
После Примеры работ QR Dental

Врач:Розовский Александр Витальевич

Протезирование

Безметалловая коронка на центральный резец
До Примеры работ QR Dental
После Примеры работ QR Dental

Врач:Розовский Александр Витальевич

Протезирование

Металлокерамические коронки и съемные протезы
До Примеры работ QR Dental
После Примеры работ QR Dental

Врач:Розовский Александр Витальевич

Протезирование

Циркониевая коронка на импланте
До Примеры работ QR Dental
После Примеры работ QR Dental

Врач:Розовский Александр Витальевич

Протезирование

Закрытие диастемы керамическими винирами
До Примеры работ QR Dental
После Примеры работ QR Dental

Врач:Розовский Александр Витальевич

Протезирование

Безметалловая коронка на центральный резец
До Примеры работ QR Dental
После Примеры работ QR Dental

Врач:Розовский Александр Витальевич

Протезирование

6 виниров е-мах работа Розовский А.В.
До Примеры работ QR Dental
После Примеры работ QR Dental

Врач:Розовский Александр Витальевич

Протезирование

Циркониевые коронки на импланты Straumann и зубы
До Примеры работ QR Dental
После Примеры работ QR Dental

Врач:Розовский Александр Витальевич

Протезирование

Замена коронок и виниров на передних зубах
До Примеры работ QR Dental
После Примеры работ QR Dental

Врач:Розовский Александр Витальевич

Протезирование

Безметалловые коронки

Сертификаты и дипломы

Обучение и повышение квалификации

  «Все о металлокерамике, провизорных реставрациях и оттисках» Лектор: Артем Олексик
  «Минимально-инвазивный подход в непрямой реставрации. Керамические виниры» Лектор: Назарий Михайлюк
  «Керамические реставрации. От планирования до фиксации. Часть 1» Лектор: Артем Олексик
  «Керамические реставрации. От планирования до фиксации. Часть 2» Лектор: Артем Олексик

  «Непрямая реставрация» Лектор: Павел Пола
  «Основы несъемного протезирования» Лектор: Дмитрий Колесников
  «Керамические реставрации в повседневной практике» Лектор: Александр Першин
  «Протезирование на имплантантах» Лектор: Василий Бочаров
  «Лучевая диагностика ВНЧС, 3Д-визуализация травм зубов и ЧЛО, кист, опухолей. Специализированный курс» Лектор: Дмитрий Рогацкин

  «The structure of daily dentist’s practice or prosthetics for “lazy” people» Лектор: Alexey Krasnozhon
  «Dental implantation of atrophic lower jaw» Лектор: Kwang Bum Park
  «Основные принципы протезирования на имплантатах» Лектор: Эдуард Ким
  «Адгезивные керамические реставрации в практике врача-стоматолога» Лектор: Карэн Чавушьян
  Международная стажировка «MegaGen Korea Tour Seminar» South Korea MegaGen International Network of education and Clinical Research

  Международная стажировка «Intensive training course on modern dental implant therapies using SKY dental implants including SKY fast&fixed immediate fixed restorations with visio.lign and BioHPP as new implant prosthetic materials as well as the latest digital technologies» Senden/Ulm, Germany Bredent Academy

  «Протезирование на имплантатах» Лектор: Алексей Красножон

  «Методика постановки системы коффердам» Александр Павлов
  «Эффективная первичная консультация и современные протоколы функциональной диагностики» Лектор: Николай Грановский.

Что говорят о враче

Розовский Александр Витальевич

ЗАКАЗАТЬ ЗВОНОК