Синус-лифтинг в клинике QR Dental

Синус-лифтинг

Синус-лифтинг и костная пластика

Для того чтобы имплантат долго функционировал, он должен со всех сторон быть окружён достаточным объёмом костной ткани. Не у каждого человека есть идеальные условия для установки импланта и при долгом отсутствии зуба костная ткань начинает убывать и имплантация становится невозможной.
Синус-лифтинг- это дополнительная процедура перед имплантацией по наращиванию кости в боковом отделе верхней челюсти. Эта операция позволяет восстановить кость необходимой толщины, для того что бы установить и укрепить в ней имплантат.

Костную ткань наращивают только на верхней челюсти и используют для этого открытый или закрытый метод. После анализа 3D снимка, хирург- имплантолог определяет подходящий метод.
При открытом методе операции, врач надрезает десну и освобождает доступ к гайморовой пазухе, затем просверливает отверстие в костной ткани, поднимает гайморово дно и вводит костный материал. Затем полость закрывается тканевым лоскутом. Имплантация происходит уже после полного заживления.
При закрытом методе, во время операции производится надрез десны непосредственно только в месте отсутствующего зуба тем самым открывается доступ к гайморовой пазухе снизу и затем через разрез в полость пазухи вводится костеобразующий материал. Закрытый метод синус-лифтинга считается более бережным и проводится во время установки имплантата.

Когда необходима?

  • Недостаточный объём и толщина костной ткани (менее 4-8 мм);
  • Анатомические особенности строения челюсти;
  • Врождённая или приобретённая адентия (отсутствие зуба).

Специалисты данного направления

Неправский Евгений Валерьевич

Имплантация зубов является безопасной процедурой, но, как и любая другая медицинская процедура, она не лишена рисков
Для успешной имплантации необходимо тщательно провести предварительную диагностику и планирование, используя 3D-изображения и компьютерные моделирования, чтобы точно определить оптимальное место для имплантации
Это позволяет избежать повреждения важных структур, таких как нервы или сосуды, и обеспечить максимальную стабильность и долговечность имплантатов

Да, возможно удалить зуб и сразу после этого установить имплант
Этот процесс называется немедленная имплантация- когда после удаления зуба в эту лунку устанавливают имплантат
Важно отметить, что немедленная имплантация не всегда возможна
Решение о ее применении зависит от различных факторов, таких как состояние кости, наличие инфекции или других проблем в области удаления зуба
Необходимо провести консультацию с квалифицированным стоматологом или имплантологом, чтобы оценить ваши индивидуальные обстоятельства и определить наиболее подходящий подход к лечению

Да, зубные импланты могут продержаться на протяжении всей жизни пациента при правильном уходе и подходящих условиях
Зубные импланты изготавливаются из прочных материалов, таких как титан или цирконий, которые хорошо переносят нагрузку и не подвержены разрушению
Чтобы импланты прослужили долгое время, необходимо соблюдать определенные рекомендации и регулярно посещать стоматолога
Важно хорошо ухаживать за имплантами, как и за натуральными зубами, регулярно чистить зубную щеткой, использовать зубную нить и ополаскиватель, а также следовать рекомендациям врача по питанию и уходу

Решение о том, нужно ли удалять зуб при наличии кисты, зависит от нескольких факторов, включая размер кисты, ее местоположение, симптомы и общее состояние зуба
В большинстве случаев киста требует вмешательства стоматолога для предотвращения осложнений
В случае, когда киста значительного размера, вызывает боли, инфекцию или угрожает здоровью окружающих тканей, вероятнее всего, потребуется удаление зуба
Кисту и зуб могут удалить хирургическим путем

Цены:

Установка импланта Mis, Megagen, Neodent, Dio 1 100,00 -1 200,00  руб. (BYN)
Операция установки имплантата Straumann 1 860,00   руб. (BYN)
Одномоментная имплантация 1 100,00 - 1 400,00  руб. (BYN)
Синус-лифтинг 2 000,00 - 4 500,00  руб. (BYN)

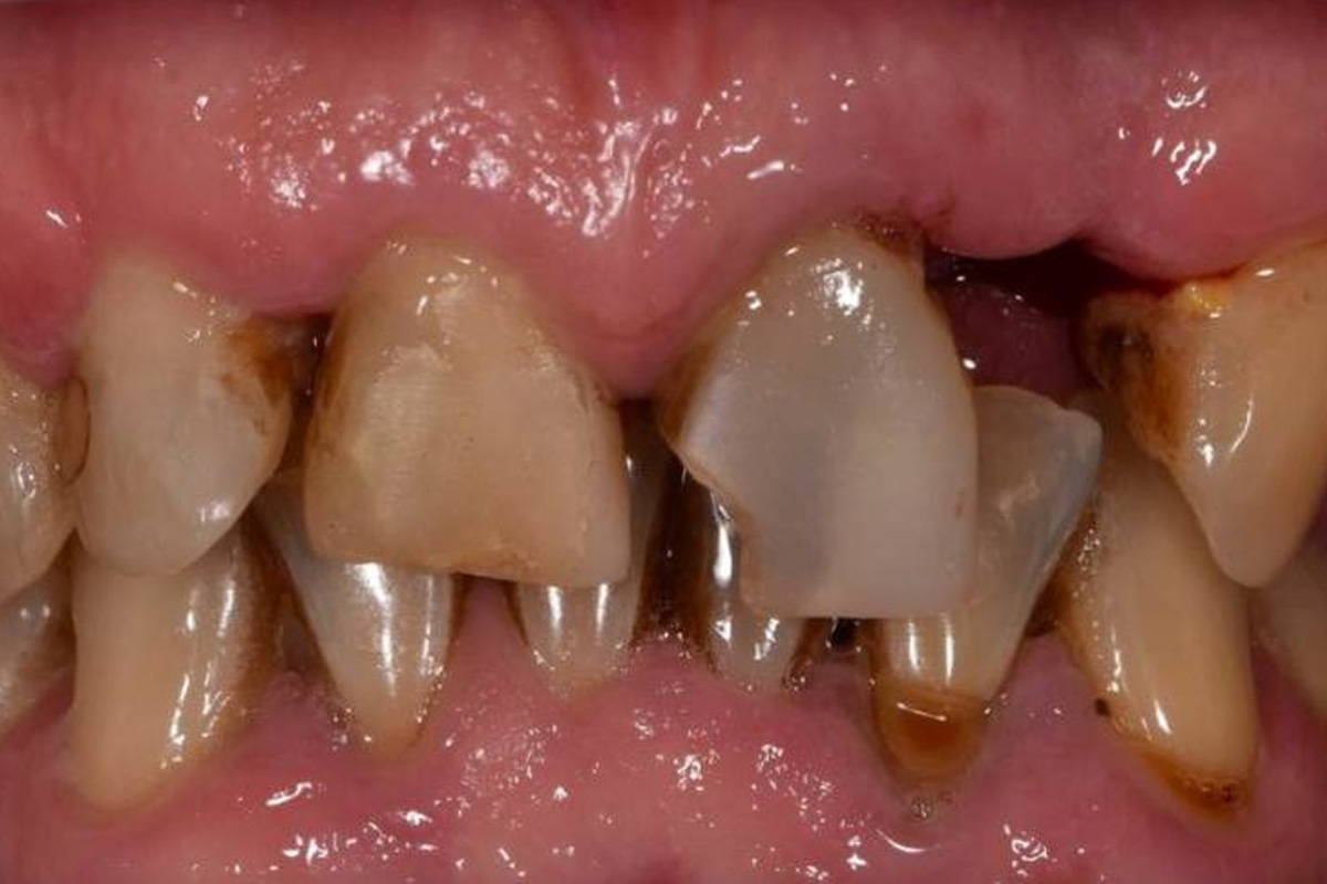
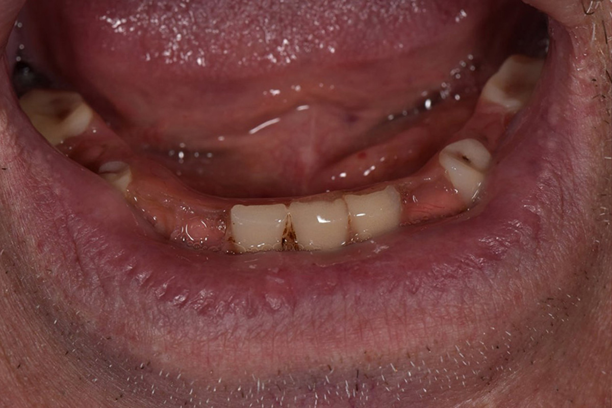
Примеры работ:

До Примеры работ QR Dental
После Примеры работ QR Dental

Врач:Розовский Александр Витальевич

Протезирование

Безметалловая коронка на центральный резец
До Примеры работ QR Dental
После Примеры работ QR Dental

Врач:Розовский Александр Витальевич

Протезирование

Керамические виниры на центральные резцы
До Примеры работ QR Dental
После Примеры работ QR Dental

Врач:Розовский Александр Витальевич

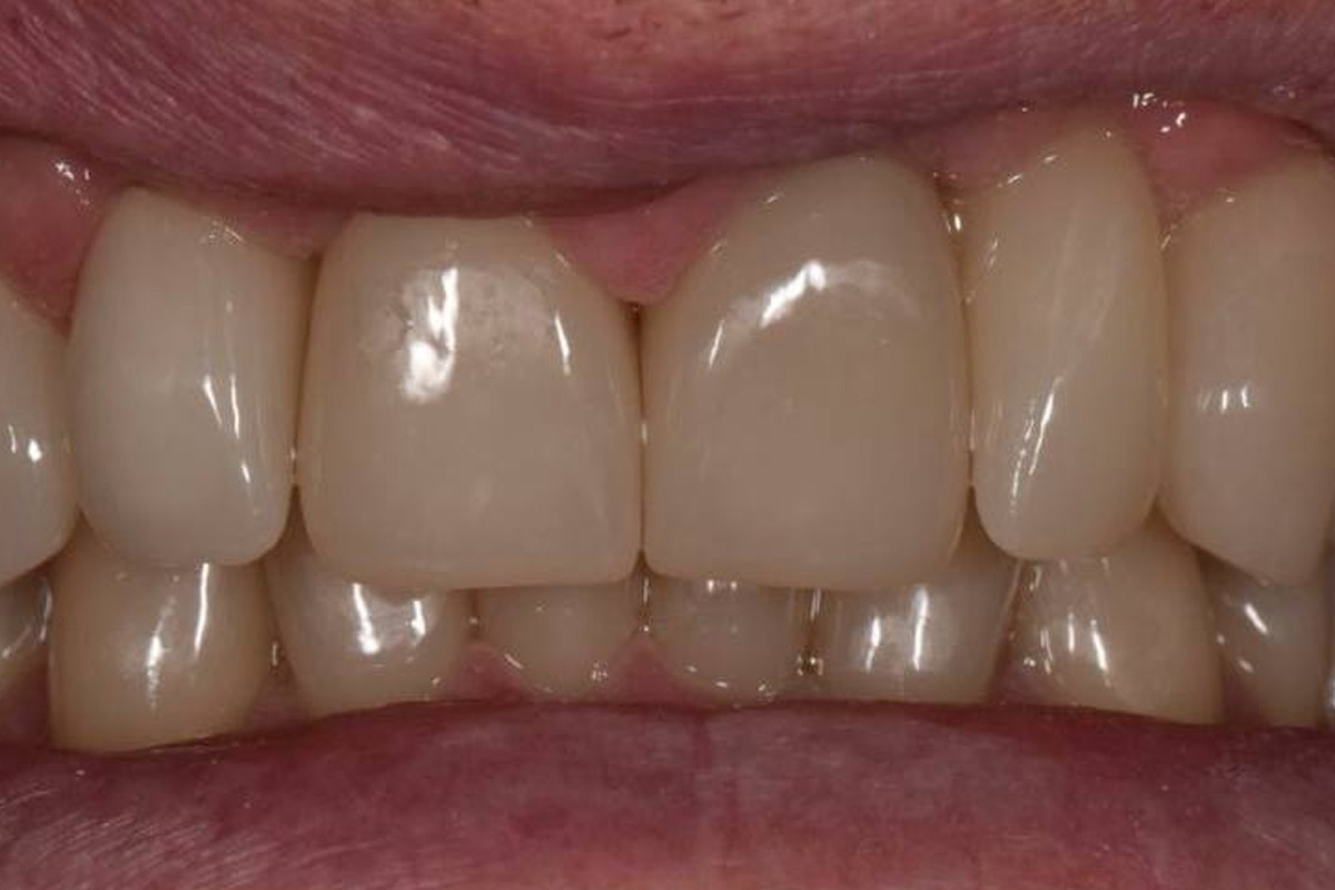
Протезирование

Безметалловая коронка на боковой резец
До Примеры работ QR Dental
После Примеры работ QR Dental

Врач:Розовский Александр Витальевич

Протезирование

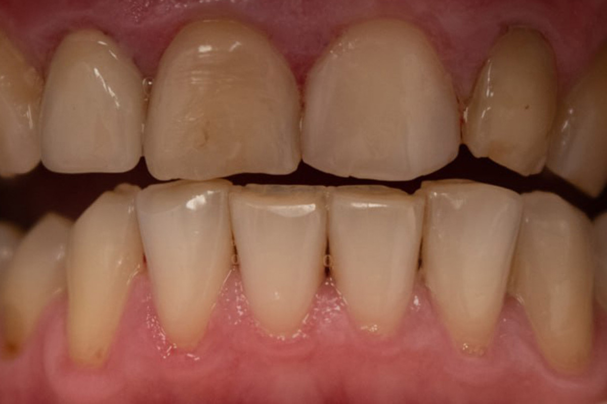
Циркониевая коронка на импланте
До Примеры работ QR Dental
После Примеры работ QR Dental

Врач:Розовский Александр Витальевич

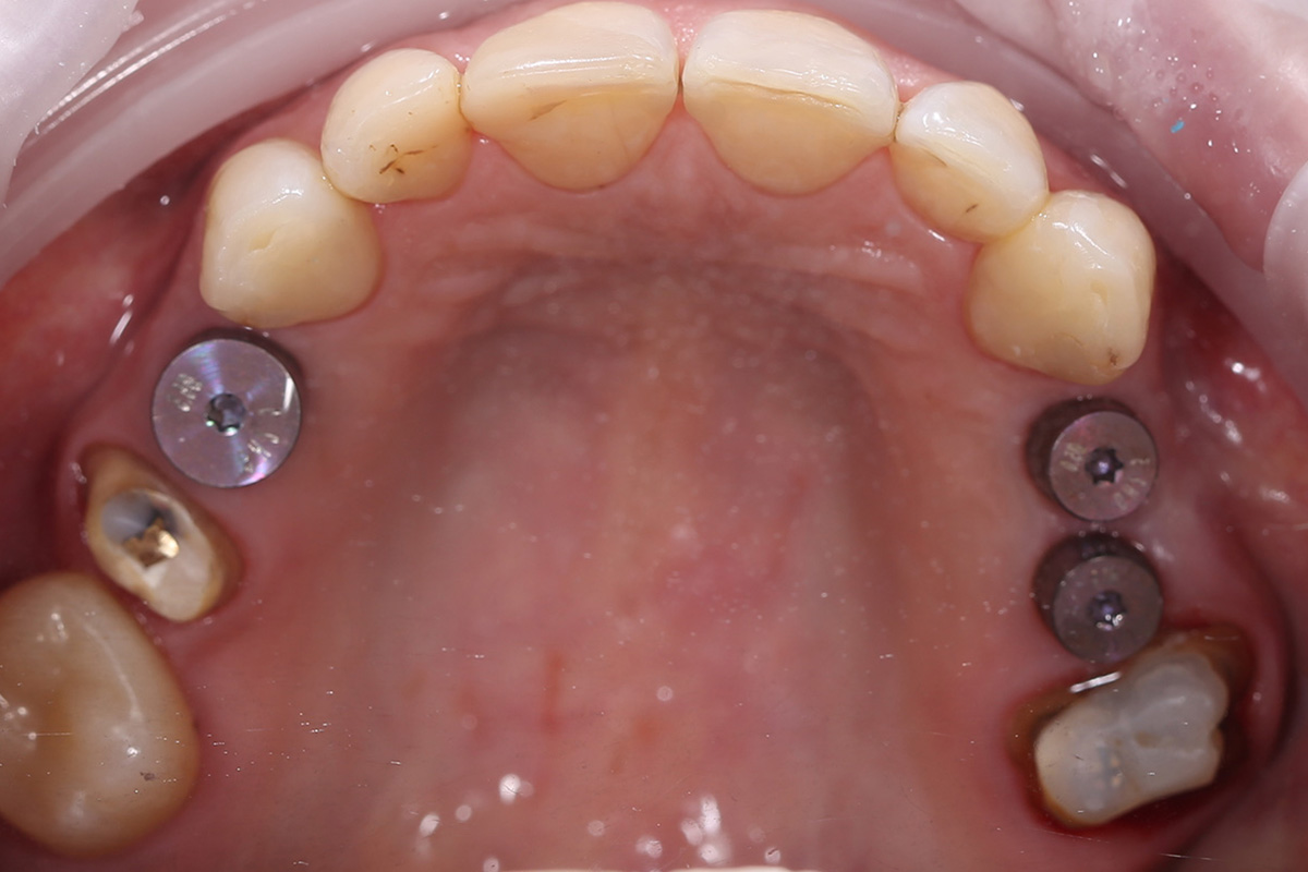
Протезирование

Коронка на импланте 2.2
До Примеры работ QR Dental
После Примеры работ QR Dental

Врач:Розовский Александр Витальевич

Протезирование

Циркониевые коронки на импланты Straumann и зубы
До Примеры работ QR Dental
После Примеры работ QR Dental

Врач:Розовский Александр Витальевич

Протезирование

Безметалловая коронка на центральный резец
До Примеры работ QR Dental
После Примеры работ QR Dental

Врач:Розовский Александр Витальевич

Протезирование

Закрытие диастемы керамическими винирами
До Примеры работ QR Dental
После Примеры работ QR Dental

Врач:Розовский Александр Витальевич

Протезирование

Закрытие диастемы керамическими винирами
До Примеры работ QR Dental
После Примеры работ QR Dental

Врач:Розовский Александр Витальевич

Протезирование

Металлокерамические коронки и съемные протезы
До Примеры работ QR Dental
После Примеры работ QR Dental

Врач:Розовский Александр Витальевич

Протезирование

Циркониевые коронки на импланты и зубы
До Примеры работ QR Dental
После Примеры работ QR Dental

Врач:Розовский Александр Витальевич

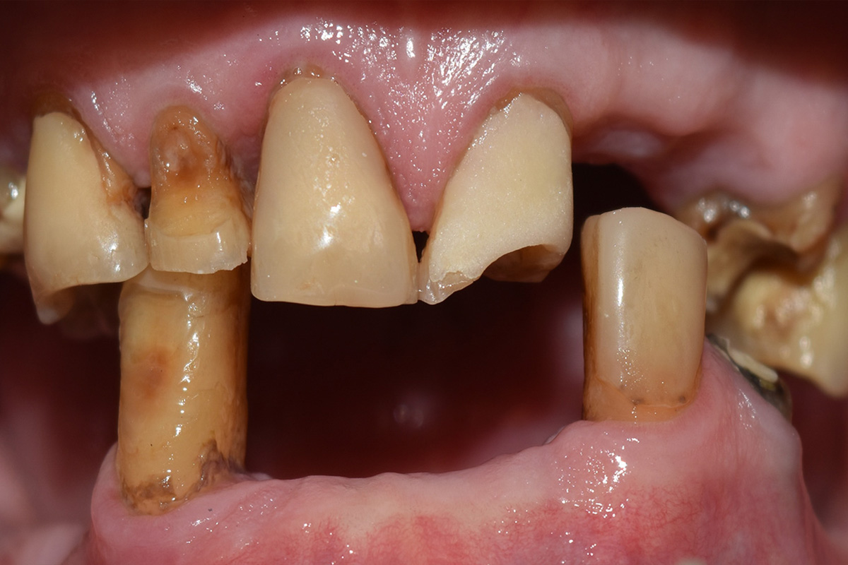
Протезирование

Замена мостовидного протеза на имплантах
До Примеры работ QR Dental
После Примеры работ QR Dental

Врач:Розовский Александр Витальевич

Протезирование

Замена коронок и виниров на передних зубах
До Примеры работ QR Dental
После Примеры работ QR Dental

Врач:Розовский Александр Витальевич

Протезирование

Циркониевые коронки на зубы 6-7
До Примеры работ QR Dental
После Примеры работ QR Dental

Врач:Розовский Александр Витальевич

Протезирование

Безметалловые коронки
До Примеры работ QR Dental
После Примеры работ QR Dental

Врач:Розовский Александр Витальевич

Протезирование

6 виниров е-мах работа Розовский А.В.
До Примеры работ QR Dental
После Примеры работ QR Dental

Врач:Розовский Александр Витальевич

Протезирование

Восстановление зубного ряда диоксид циркониевыми коронками, работа Розовский А.В.
До Примеры работ QR Dental
После Примеры работ QR Dental

Врач:Розовский Александр Витальевич

Протезирование

Восстановление зубного ряда диоксид циркониевыми коронками, работа Розовский А.В.
До Примеры работ QR Dental
После Примеры работ QR Dental

Врач:Розовский Александр Витальевич

Протезирование

Коронки из диоксид циркония на импланты и зубы

Что о нас говорят

Синус-лифтинг

ЗАКАЗАТЬ ЗВОНОК